باد فتق زنان چیست؟ نشانههایی که نباید نادیده بگیرید!_مستطیل زرد

[ad_1]
نوشته و ویرایش شده توسط مجله ی مستطیل زرد
باد فتق در زنان یکی از اختلالات نسبتا کمتر شناختهشده اما مهم در حوزه پزشکی است که به علت تفاوتهای آناتومیک با مردان، ویژگیها و چالشهای خاص خود را دارد. این عارضه وقتی رخ میدهد که بافت یا اندامی از داخل شکم، از طریق نقطهای ضعیف در دیواره شکم یا کشاله ران به بیرون سختی آورده و تبدیل برآمدگی میبشود.
اگرچه شیوع آن در زنان کمتر از مردان است، اما خطر ابراز عوارضی همانند گیر افتادن یا خفگی محتویات فتق در زنان زیاد تر است. آگاهی از علائم، علل ابراز، راه حلهای تشخیص و درمان این بیماری برای پیشگیری از عوارض جدی و نگه داری کیفیت زندگی بیماران اهمیت اختصاصیای دارد؛ در این مقاله از مجله دکتردکتر به این مشکل میپردازیم.
اگر سوالی دارید، در انتها بنویسید تا کارشناس سلامتی دکتردکتر جواب دهد.
باد فتق زنان چیست؟
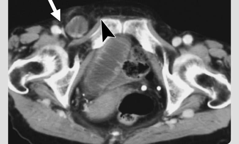
باد فتق در زنان به حالتی حرف های میبشود که بخشی از بافت یا اندامهای داخلی شکم که طبق معمولً روده یا چربیهای اطراف آن است، از محل ضعیفشدهای در دیواره شکم یا کشاله ران خارج بشود و یک برآمدگی یا تورم زیرپوستی تشکیل کند. این عارضه، یکی از دلایل درد سمت چپ شکم در زنان است.
عارضه باد فتق طبق معمولً در ناحیه کشاله ران (فتق اینگوینال) یا پایینتر از آن (فتق فمورال) دیده میبشود. اگرچه شیوع فتق در زنان کمتر از مردان است، اما در زنان گمان ابراز عوارض خطرناکتر همانند گیر افتادن محتویات فتق زیاد تر است.
فتق زنان کجاست؟
فتق در زنان طبق معمولً در نواحی ضعیف دیواره شکم با گفتن فتق اپی گاستریک و فتق در کشاله ران تشکیل میبشود. شایعترین محلها عبارتاند از:
- فتق کشاله ران؛ محل عبور رباطهای نگهدارنده رحم و تخمدان از دیواره شکم. این ناحیه در زنان به علت وجود کانال اینگوینال (مسیر عبور رباط گرد رحم) محل بالقوهای برای تشکیل فتق است.
- پایینتر از کشاله ران؛ دقیقاً زیر رباط اینگوینال، جایی که عروق بزرگ پا داخل لگن خواهد شد. فتقهای فمورال در زنان زیاد تر از مردان دیده میبشود و نسبت به دیگر انواع، گمان گیر افتادن محتویات در آن بالاتر است.
فتق تخمدان در زنان چیست و کجاست؟
فتق تخمدان که یکی از دلایل درد سمت راست شکم زنان است، حالتی نادر اما مهم است که در آن تخمدان یا لوله فالوپ به داخل کیسه فتق کشیده میبشود. این حالت زیاد تر در:
- نوزادان دختر یا کودکان خردسال؛ به علت بازماندن کانال اینگوینال
- زنان جوان؛ در فتقهای اینگوینال بزرگ
محل این فتق همان ناحیه کشاله ران است. اگر تخمدان در داخل کیسه فتق گیر بیفتد، امکان پذیر با لمس تودهای در کشاله ران و درد شدید همراه باشد. این حالت یک اورژانس جراحی محسوب میبشود، چون خونرسانی تخمدان امکان پذیر قطع بشود و خطر صدمه یا از بین رفتن تخمدان وجود دارد.
علائم باد فتق در زنان
علائم باد فتق در زنان امکان پذیر در ابتدا خفیف باشد و به مرور زمان شدت یابد. شایعترین علائم عبارت هستند از:
- وجود برآمدگی یا تورم در ناحیه کشاله ران که زمان ایستادن، سرفه یا فعالیتهای فیزیکی زیاد تر آشکار میبشود؛
- درد یا حس ناراحتی در ناحیه فتق، بهخصوص زمان بلند کردن اجسام سنگین یا خم شدن؛
- ورم شکم؛
- حس کردن سنگینی یا سختی و درد لگن؛
- تهوع، استفراغ یا علائم انسداد روده در تاثییر گیر افتادن محتویات فتق.
مسئله! در برخی زنان، فتق امکان پذیر بدون علامت باشد و تنها در معاینه پزشکی شناسایی بشود.
علائم فتق شکم در زنان
علائم فتق شکم در زنان بسته به محل و شدت فتق میتواند متفاوت باشد. در تعداد بسیاری از موارد علائم در ابتدا خفیف می باشند و با گذشت زمان یا افزایش سختی داخل شکمی شدت مییابند. شایعترین علائم عبارت هستند از:
-
برآمدگی یا تورم در شکم یا کشاله ران، آشکارتر زمان ایستادن یا سرفه
-
درد یا حس سختی در محل فتق، بهاختصاصی زمان فعالیت
-
حساسیت یا درد زمان لمس برآمدگی
-
تهوع، استفراغ یا نفخ در صورت گیر افتادن روده
دلایل باد فتق زنان
علت ابراز باد فتق در زنان به ترکیبی از عوامل مادرزادی و اکتسابی مربوط میبشود. ضعف طبیعی یا ایجادشده در دیواره شکم جهت خروج بافتها از محل ضعیف میبشود. دلایل مهم عبارت هستند از:
| علت | توضیح |
|---|---|
| ضعف مادرزادی در دیواره شکم | نقصهای ساختاری از زمان تولد که علتایجاد محل ضعیف میبشود |
| بارداری | افزایش سختی داخل شکمی ناشی از رشد جنین و تغییرات هورمونی |
| بلند کردن اجسام سنگین | افزایش ناگهانی سختی بر دیواره شکم و کشاله ران |
| سرفه مزمن یا یبوست | سختی مکرر بر عضلات شکمی و کشاله ران |
| افزایش سن | افت قوت و انعطافپذیری بافتها و عضلات شکمی |
| چاقی | سختی مزمن اضافه بر دیواره شکم |
عوارض و مشکلاتی که باد فتق در زنان تشکیل میکند:
عدم درمان بهموقع باد فتق میتواند تبدیل ابراز عوارضی جدی بشود:
- گیر افتادن فتق؛ وقتی که محتویات فتق دیگر به داخل شکم باز نمیگردد و در کیسه فتق گیر میافتد.
- خفگی فتق؛ قطع جریان خون به بافتهای گیر افتاده، که میتواند علتمرگ بافتها و عفونت شدید بشود. این حالت یک اورژانس پزشکی است.
- درد مزمن و ناراحتی لگنی؛ بهاختصاصی در فتقهای کوچک و نهان که با فعالیت روزمره تداخل تشکیل میکند.
- انسداد روده؛ در مواردی که قسمت بزرگی از روده در فتق گیر افتاده باشد.
راههای تشخیص باد فتق در زنان
تشخیص باد فتق در زنان امکان پذیر به علت محل آن و کوچک بودن فتقها چالشبرانگیز باشد. راه حلهای زیر برای تشخیص منفعت گیری خواهد شد:
- معاینه بالینی؛ پزشک زمان ایستادن یا سرفه کردن بیمار، محل مشکوک را لمس و بازدید میکند.
- سونوگرافی؛ برای شناسایی فتقهای کوچک یا فتقهایی که در معاینه بالینی دیده نمیشوند.
- MRI یا CT اسکن؛ در مواردی که معاینه و سونوگرافی کافی نباشد یا نیاز به برسی دقیقتر وجود داشته باشد.

درمان باد فتق در زنان
درمان باد فتق در زنان عمدتاً جراحی است، چون خطر ابراز عوارض اورژانسی در زنان بالاتر است. گزینههای درمانی به شرح زیر می باشند:
مراقبت مداوم
مراقبت مداوم روشی است که در آن بیمار بهصورت منظم توسط پزشک تحت نظر قرار میگیرد، اما فعلاً عمل جراحی انجام نمیبشود. این رویکرد تنها در مواردی پیشنهاد میبشود که فتق کوچک باشد، علائم آزاردهندهای وجود نداشته باشد و خطر گیر افتادن یا خفگی فتق پایین باشد.
پزشک در این روش بیمار را از نظر ابراز هرگونه تحول در اندازه فتق، درد، ناراحتی یا علائم خطرناک پایش میکند. در طول این دوره، بیمار باید در صورت مشاهده هرگونه علائم هشداردهنده همانند درد شدید ناگهانی، تهوع، استفراغ، تحول رنگ برآمدگی یا عدم امکان برگشت دادن آن به داخل شکم، فوراً به پزشک مراجعه کند.
با این حال، در زنان این روش کمتر پیشنهاد میبشود؛ چون مطالعات نشان دادهاند که خطر ابراز عوارض اورژانسی همانند خفگی فتق در زنان زیاد تر از مردان است. به همین علت، زیاد تر پزشکان ترجیح خواهند داد حتی فتقهای بدون علامت در زنان را نیز با جراحی ترمیم کنند.
در این دوره اگر تصمیم خرید دارو داشتید، میتوانید از خدمت خواست آنلاین دارو داروخانه دکتردکتر، پشتیبانی بگیرید.
جراحی باز
در این روش، جراح برشی در محل فتق تشکیل کرده و محتویات آن را به داخل شکم بازمیگرداند. سپس دیواره شکم با بخیه یا منفعت گیری از مش مصنوعی تحکیم میبشود. این روش برای فتقهای بزرگ یا موارد پیچیده مناسب است، اما طبق معمولً دوره نقاهت طویلتری نسبت به راه حلهای کمتهاجمی دارد.

جراحی لاپاراسکوپی
در این روش با چند برش کوچک و منفعت گیری از دوربین، ترمیم فتق از داخل شکم انجام میبشود. مزیت این روش شامل درد کمتر بعد از عمل، اسکارهای کوچکتر و برگشت سریع تر به فعالیتهای روزمره است.
لاپاراسکوپی به دو روش TEP و TAPP
این دو تکنیک لاپاراسکوپی پیشرفته می باشند که بهطور خاص برای ترمیم فتق از داخل شکم طراحی شدهاند. در این راه حلها، دیواره شکم با مش مصنوعی تحکیم میبشود و گمان عود فتق افت مییابد.
زمانزمان درمان و بهبودی
زمانزمان بهبودی بسته به نوع جراحی متفاوت است:
| نوع درمان | طول دوره بهبودی اولیه | برگشت به فعالیت عادی |
|---|---|---|
| جراحی باز | ۴ تا ۶ هفته | نزدیک به ۶ هفته |
| جراحی لاپاراسکوپی | ۲ تا ۴ هفته | نزدیک به ۳ تا ۴ هفته |
مراقبتهای بعد از درمان
بعد از جراحی، مراعات مراقبتهای زیر برای جلوگیری از عود و بهبود سریع پیشنهاد میبشود:
- استراحت نسبی برای ۱ تا ۲ هفته و خودداری از فعالیتهای سنگین تا ۶ هفته
- پیروی از رژیم غذایی سرشار از فیبر برای پیشگیری از یبوست و سختی به ناحیه جراحی
- مصرف داروهای مسکن و ضدعفونت مطابق دستور پزشک
- بازدید محل جراحی از نظر علائم عفونت همانند تورم، قرمزی یا ترشح
- پیادهروی سبک برای پیشگیری از لخته شدن خون و بهبود گردش خون
چطور میتوان از باد فتق در خانمها پیشگیری کرد؟
برای جلوگیری از این عارضه، پیشنهاد میبشود که خانمها به موراد زیر دقت داشته باشند:
- نگه داری وزن مناسب و جلوگیری از اضافهوزن
- اجتناب از بلند کردن اجسام سنگین یا انجام حرکات ناگهانی
- درمان سریع سرفه مزمن و یبوست برای افت سختی شکمی
- انجام تمرینات ورزشی مناسب برای تحکیم عضلات شکم

پزشکان کدام تخصص این بیماری را درمان میکنند؟
تشخیص و درمان باد فتق در زنان توسط جراح عمومی یا جراح لاپاراسکوپی انجام میبشود. در صورتی که فتق با مشکلات لگنی یا اختلالات زنان همراه باشد، امکان پذیر مشاوره با متخصص زنان نیز ملزوم باشد.
در دکتردکتر میتوانید برای مشورت با دکتر آنلاین زنان بدون مراجعه حضوری و متنی یا تلفنی، عمل کنید و هر ساعت از شبانهروز، جواب بگیرید.
منبع های:
سوالات متداول
باد فتق در زنان طبق معمولً در ناحیه کشاله ران یا مقداری پایینتر از آن تشکیل میبشود. در فتق اینگوینال برآمدگی بالای کشاله ران و در فتق فمورال مقداری پایینتر و نزدیک ران دیده میبشود. این برآمدگی زمان ایستادن یا سرفه آشکارتر است.
برچسبها:
دسته بندی مطالب
[ad_2]



