معارفه همه بیماری های ریه + راه حلهای پشگیری و درمان انواع آن_مستطیل زرد

[ad_1]
نوشته و ویرایش شده توسط مجله ی مستطیل زرد
بیماری های ریه، مجموعهای گسترده از اختلالات تنفسی می باشند که میتوانند کارکرد طبیعی ریهها را در جنبههای مختلفی همچون ساختار بافتی یا حرکت هوا دچار مشکل کنند. این بیماریها امکان پذیر از علل عفونی همانند ذاتالریه و سل گرفته تا اختلالات مزمن همانند آسم و بیماری انسدادی مزمن ریوی (COPD) متغیر باشند. شناخت علائم، علل، راههای پیشگیری و درمان این بیماریها، به افراد پشتیبانی میکند تا از پیشرفت بیماری جلوگیری کرده و زندگی سالمتری داشته باشند. در این نوشته از مجله پزشکی دکتردکتر با شایعترین علائم، علل و راه حلهای تشخیص و درمان انواع بیماری ریوی آشنا خواهید شد.
اگر در این عرصه سوالی دارید، آن را در قسمت نظرات بنویسید تا کارشناس سلامتی دکتردکتر به آن جواب دهد.
انواع بیماری های ریه
بیماری های ریوی، کارکرد طبیعی تنفس را مختل کنند. این بیماریها را میتوان به دستههای زیر تقسیم کرد که هر کدام قسمت متغیری از سیستم تنفسی را دچار میکنند.
بیماریهای انسدادی ریه
بیماریهای انسدادی ریه به گروهی از اختلالات حرف های میبشود که در آنها جریان هوا در راههای هوایی بهخصوص زمان بازدم، محدود یا مسدود میبشود. افراد مبتلا به این بیماری طبق معمول دچار نفستنگی، سرفه و خسخس سینه خواهد شد. انواع بیماری های انسدادی ریه شامل موارد زیر خواهد شد:
- آسم: بیماری آسم که در آن راههای هوایی همیشه التهاب می باشند و در روبه رو با عوامل تحریککننده (همانند آلرژی، دود، هوای سرد یا عفونت) دچار اسپاسم و تنگی خواهد شد.
- بیماری انسدادی مزمن ریوی (COPD): ترکیبی از برونشیت مزمن و آمفیزم که علتمشکل در خروج هوا از ریه میبشود. برونشیت مزمن، با سرفههای طویلزمان همراه با خلط اشکار خواهد شد. آمفیزم، صدمه به دیواره کیسههای هوایی (آلوئولها) بوده که طی آن هوا در ریهها به دام میافتد.
- برونشیولیت: التهاب راههای هوایی کوچک که زیاد تر در کودکان رخ میدهد.
- برونشکتازی: گشاد شدن دائمی راههای هوایی که علتتجمع ترشحات و عفونتهای مکرر میبشود و در فیبروز کیستیک شایع است.

بیماریهای بینابینی ریه
بیماریهای بینابینی ریه (ILDs) گروهی از اختلالات می باشند که لایهی نازک بین کیسههای هوایی (آلوئولها) را دچار میکنند. این ناحیه محل عبور رگهای خونی ظریف است که تبادل گاز بین هوا و خون در آن انجام میبشود. صدمه به این ناحیه علتسختی تنفس و افت جذب اکسیژن خواهد شد. مثالهایی از بیماریهای بینابینی به شرح زیر است:
- سارکوئیدوز: التهاب با منشا ناشناخته که میتواند در ریهها گرههای کوچک التهابی تشکیل کند.
- فیبروز ریوی ایدیوپاتیک (IPF): تشکیل بافت اسکار در ریه که بدون هیچ علت مشخصی رخ میدهد.
- بیماریهای خودایمنی: همانند لوپوس یا آرتریت روماتوئید که علتدرگیری بینابینی ریه خواهد شد.
- پنومونی و ادم ریوی: این بیماری های ریه به علت نشت مایعات به داخل کیسههای هوایی که طبق معمول در تاثییر نارسایی قلبی یا صدمه مستقیم به ریهها رخ خواهند داد و اگر پیشرفت کنند، علتعوارض بینابینی خواهند شد.
بیماریهای فیبروتیک ریه
این بیماری های ریه شامل حالاتی می باشند که در آنها بافت ریه به مرور زمان دچار فیبروز (راه اندازی بافت اسکار) میبشود. این بافت اسکار سفت و غیرقابل انعطاف است و علتکاهش ظرفیت ریه، سختی تنفس و افت انتقال اکسیژن میبشود. بیماران مبتلا به این بیماری زیاد تر حس میکنند که نمی توانند نفس عمیق بکشند. بیماریهای شایع در این دسته شامل موارد زیر خواهد شد:
- فیبروز ریوی ایدیوپاتیک (IPF) از شایعترین نوع فیبروز ریه با علت ناشناخته
- فیبروز ناشی از روبه رو با مواد شیمیایی یا گرد و غبار همانند پنوموکونیوز، آزبستوز (در تاثییر استنشاق گرد آزبست) و سیلیکوز
- فیبروز ناشی از درمانهای دارویی یا پرتو درمانی
- فیبروز ثانویه به بیماریهای خودایمنی همانند اسکلرودرمی

بیماریهای ژنتیکی ریه
این گروه شامل بیماریهایی است که به علت نقصهای ژنتیکی بهوجود میآیند و طبق معمول از کودکی یا نوجوانی اغاز خواهد شد. ژن معیوب علتعملکرد غیرطبیعی در سلولهای ریه یا سیستم ایمنی میبشود. از با اهمیت ترین مثالهای بیماری های ژنتیکی ریه میتوان به فیبروز کیستیک اشاره کرد. یک بیماری ارثی که علتتولید مخاط غلیظ و چسبنده در راههای هوایی میبشود. این مخاط مسیر هوا را میبندد و محیط مناسبی برای رشد باکتریها فراهم میکند که تبدیل عفونتهای مکرر و صدمه پیشرونده ریهها میبشود. دیگر بیماریهای ژنتیکی نادر امکان پذیر شامل نقص در ساختار یا کارکرد پروتئینهای خاص در سلولهای ریه باشند.
بیماریهای عفونی ریه
این گروه شامل بیماریهایی است که بهعلت ورود عوامل میکروبی (ویروس، باکتری و قارچ) به بافت ریه تشکیل خواهد شد. این بیماریها امکان دارد حاد یا مزمن باشند و در موارد شدید تبدیل نارسایی تنفسی شوند. مثالهایی از این بیماریها به شرح زیر می باشند:
- پنومونی (ذاتالریه): عفونت آلوئولها که گمان دارد ناشی از باکتری، ویروس یا قارچ باشد (به گفتن نمونه کووید).
- سل: نوعی پنومونی مزمن که توسط باکتری مایکوباکتریوم توبرکلوزیس تشکیل میبشود.
- برونشیت حاد: عفونت حاد راههای هوایی که طبق معمول ویروسی است.
- سندرم دیسترس حاد تنفسی: صدمه شدید و ناگهانی به ریهها که زیاد تر در تاثییر عفونتهای شدید یا التهاب گسترده تشکیل میبشود.
بیماریهای عروقی ریه
این بیماریها رگهای خونی ریه را دچار میکنند و طبق معمول با افزایش سختی خون ریوی یا لخته شدن خون همراه می باشند. خطرناک ترین بیماری های ریه زیاد تر در این دسته قرار میگیرند، چون میتوانند به شدت تبدیل عوارض جدی و حتی مرگ شوند. از بیماریهای عروقی ریه میتوان به موارد زیر اشاره کرد:
- سختی خون ریوی: افزایش سختی در شریانهای ریوی که امکان پذیر بهعلت بیماریهای گوناگون تشکیل بشود یا بدون علت شناختهشده (ایدیوپاتیک) باشد.
- آمبولی ریه: تشکیل لخته خونی که از اندام تحتانی (برای مثال پاها) کنده شده و به ریه منتقل میبشود.
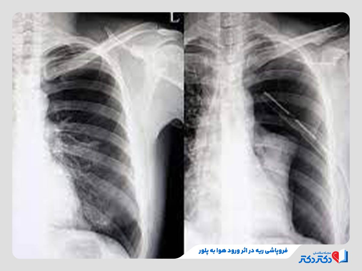
بیماریهای پلور ریه
پلورا، لایه نازکی است که سطح ریه و دیواره داخلی قفسه سینه را میپوشاند. بیماریهای پلور علتدرد قفسه سینه و اختلال در حرکت ریه خواهد شد. مثالهایی از این نوع بیماری ریوی به شرح زیر است:
- افیوژن پلور: تجمع مایع بین دو لایه پلورا که طبق معمول در تاثییر نارسایی قلبی یا پنومونی رخ میدهد.
- پنوموتوراکس: ورود هوا به فضای پلور که علتفروپاشی ریه میبشود.
- مزوتلیوما: نوعی سرطان نادر پلور که زیاد تر بعد از قرار گرفتن در معرض آزبست تشکیل میبشود.

بیماریهای دیواره قفسه سینه و اختلالات عصبی-عضلانی
اگرچه این بیماریها مستقیما به خود ریه مربوط نمیشوند، اما کارکرد طبیعی ریه را از طریق اختلال در حرکت قفسه سینه یا عضلات تنفسی مختل میکنند.
- سندروم تهویه ناکافی در تاثییر چاقی: افزایش وزن شدید که مانع از انبساط کافی ریهها میبشود.
- بیماریهای نوروموسکولار (همانند ALS یا میاستنی گراویس): اختلال در کارکرد عضلات تنفسی که به علت صدمه عصبی رخ میدهد.
شایعترین علائم بیماری های ریه
بیماری های ریوی طیف گستردهای دارند که علائم متغیری تشکیل میکنند. شناسایی علائم شایع در هر گروه، به تشخیص سریع تر و درمان موثرتر پشتیبانی میکند. در ادامه، به شایعترین علائم انواع بیماری ریوی اشاره شده است:
| انواع بیماری ریوی | شایعترین علائم |
| بیماریهای انسدادی ریه | نفستنگی (مخصوصا در بازدم)، خسخس سینه، سرفه مزمن، حس فشردگی قفسه سینه |
| بیماری های بینابینی ریه | تنگی نفس (بخصوص زمان فعالیت)، سرفه خشک، تنفس سطحی و سریع |
| بیماری های فیبروتیک ریه | تنگی نفس پیشرونده، سرفه خشک، خستگی مزمن |
| بیماریهای ژنتیکی ریه | سرفه مزمن با خلط غلیظ، عفونتهای مکرر ریه، خسخس، افت وزن، مشکلات گوارشی |
| بیماریهای عفونی ریه | تب، لرز، سرفه (بعضی اوقات همراه با خلط یا خون)، درد قفسه سینه، نفستنگی، خستگی |
| بیماریهای عروقی ریه | نفستنگی ناگهانی یا تدریجی، درد قفسه سینه (زیاد تر زمان نفس کشیدن)، تپش قلب، سبکی سر |
| بیماریهای پلور | درد تیز قفسه سینه زمان نفس عمیق، نفستنگی، سرفه خشک، حس سنگینی در قفسه سینه |
| بیماریهای دیواره قفسه سینه و عصبی-عضلانی | تنگی نفس در زمان خواب یا دراز کشیدن، ضعف عضلانی، خستگی زودرس |
شناخت دقیق این علائم همچون علائم آسم در کودکان و اختلاف بین آنها نقش مهمی در تشخیص بهموقع و صحیح بیماری های ریه دارد. یقیناً باید دقت داشت که این موارد تنها تعدادی از علائم احتمالی می باشند و تشخیص قطعی نوع بیماری ریه بر مسئولیت پزشک متخصص است.
علت ابراز علائم بیماری های ریوی
علائم بیماری های ریه امکان دارد بر تاثییر عوامل بسیاری تشکیل شوند. در ادامه، با اهمیت ترین علل تشکیل بیماریها ریه را گفتن می کنیم:
سیگار کشیدن
سیگار چه بهصورت فعال و چه بهصورت غیرمستقیم (دود دست دوم)، مهمترین عامل بیماری های ریه به حساب می اید. مواد شیمیایی حاضر در دود سیگار علتتخریب بافت ریه، التهاب مزمن راههای هوایی، تخریب کیسههای هوایی (آلوئولها) و در نهایت ابراز بیماریهایی همانند COPD، برونشیت مزمن، آمفیزم و سرطان ریه میبشود.
گاز رادون
رادون، گازی بیرنگ و بیبو است که در برخی خانهها وجود دارد و عامل شناختهشدهای برای سرطان ریه محسوب میبشود. استنشاق طویلزمان این گاز تبدیل صدمه سلولهای ریه میبشود.
آزبست (پنبه نسوز)
آزبست، نوعی ماده معدنی است که در قبل در ساختمانسازی، عایقکاری و قطعات ماشین منفعت گیری میشد. استنشاق ذرات آزبست به بیماریهای بینابینی ریه، فیبروز ریوی و بهاختصاصی سرطان مزوتلیوما منجر میبشود.
آلودگی هوا
آلودگی ناشی از وسایل نقلیه، کارخانهها و سوختهای فسیلی علتتحریک راههای هوایی و تشدید بیماریهایی همانند بیماری آسم، COPD، سرطان ریه و دیگر بیماریهای مزمن ریوی میبشود. تماس مداوم با هوای آلوده جهت التهاب مزمن و اختلال در کارکرد ریهها میبشود.
عوامل میکروبی (ویروسی، باکتریایی، قارچی)
برخی بیماری های ریه همانند ذاتالریه (پنومونی)، سل (TB) و سندرم زجر تنفسی حاد (ARDS) در تاثییر عفونتهای ویروسی یا باکتریایی تشکیل خواهد شد. این عفونتها طبق معمول التهاب شدید، تشکیل ترشحات زیاد و اختلال در تبادل گاز در ریهها را به جستوجو دارند.
عوامل ژنتیکی
برخی بیماری های ریه همانند فیبروز کیستیک به علت اختلالات ژنتیکی ابراز میکنند. در این شرایط، ساختار و کارکرد طبیعی ریهها بهطور مادرزادی دچار اختلال شده و طبق معمول از سنین پایین اغاز میبشود.
بیماریهای خودایمنی و التهابی
بیماریهایی همانند سارکوئیدوز یا فیبروز ریوی ایدیوپاتیک از جمله بیماریهایی می باشند که بدون علت اشکار و یا به علت عکس العملهای غیرطبیعی سیستم ایمنی، علتالتهاب و تخریب بافت ریه خواهد شد.
چطور میتوان بیماری های ریه را تشخیص داد؟
تشخیص بیماری های ریه نیازمند بازدید دقیق کارکرد ریهها و برسی کلی حالت سلامت بیمار است. در ادامه، با اهمیت ترین راه حلهای تشخیص بیماری های ریه اراعه شده است:
آزمایشهای خون و مایعات بدن
برای برسی کارکرد کلی بدن و تشخیص عفونتها یا اختلالات تنفسی از نمونه خون یا مایعات اطراف ریه منفعت گیری میبشود.
- آزمایش گازهای خون شریانی: سنجش مقدار اکسیژن، دیاکسیدکربن و pH خون برای بازدید کارکرد تنفسی
- شمارش کامل سلولهای خونی: بازدید وجود عفونت، التهاب یا کمخونی
- پنل متابولیک جامع: برسی الکترولیتها، قند خون و کارکرد اندامهایی چون کبد و کلیه
- تحلیل مایع پلور: بازدید وجود سرطان یا عفونت در مایع اطراف ریه
مثالبرداری و بازدید مستقیم بافت ریه
این راه حلها به پزشک امکان بازدید بافت و سلولهای ریه را بهصورت مستقیم خواهند داد. این راه حلها شامل موارد زیر می باشند:
- مثالبرداری از بافت ریه: بازدید مقدار صدمه بافتی یا وجود سلولهای سرطانی
- توراکوتومی: جراحی برای مشاهده یا درمان مستقیم بافتهای داخل قفسه سینه
- مدیاستینوسکوپی: مشاهده فضای بین دو ریه برای بازدید تودهها یا غدد لنفاوی
برسی کارکرد تنفسی
این آزمایشها مقدار و شدت عبور هوا از ریهها را اندازهگیری کرده و برای تشخیص انسدادها کاربرد دارند.
- اسپیرومتری انگیزشی: بازدید حجم بازدمی برای تشخیص انسداد یا محدودیت تنفسی
- پیک فلومتر: اندازهگیری شدت خروج هوا، مخصوصا در بیماران مبتلا به آسم

تصویربرداری پیشرفته ریهها
برای مشاهده ساختار داخلی ریهها و تشخیص دقیق بیماری های ریه از راه حلهای تصویربرداری منفعت گیری میبشود. این راه حلها به شرح زیر می باشند:
- رادیوگرافی قفسه سینه: عکس سادهای از ریهها برای شناسایی مشکلات ابتدایی
- سیتی اسکن: تصویری دقیق و چند بعدی از ساختار داخلی ریهها
- امآرآی: تصویربرداری با جزئیات بالا از قفسه سینه بدون منفعت گیری از اشعه ایکس
- اسکن PET: شناسایی سلولهای سرطانی با منفعت گیری از مواد ردیاب
درمان انواع این بیماریها
درمان بیماری های ریه بر پایه نوع بیماری، شدت علائم و حالت عمومی بیمار متفاوت است. برخی راه حلها به بهبود کارکرد تنفسی پشتیبانی میکنند، برخی علائم را افت خواهند داد و برخی برای موارد شدید یا مزمن به کار میروال. در ادامه، با اهمیت ترین راه حلهای درمانی این بیماریها معارفه شدهاند:
اکسیژن درمانی
اکسیژندرمانی، یکی از راه حلهای رایج در بیماران با سطح پایین اکسیژن خون است. در این روش، اکسیژن از طریق لوله بینی، ماسک یا لولهای که به نای داخل میبشود، به بیمار انتقال داده خواهد شد. این درمان میتواند در بیمارستان، مراکز درمانی یا منزل انجام بشود و برای بیماریهایی چون آسم، COPD، نارسایی قلبی، پنومونی، دیسترس تنفسی و آپنه خواب کاربرد دارد.
بر پایه اطلاعات منتشرشده در وبسایت موسسه ملی بهداشت آمریکا،
اکسیژندرمانی طبق معمول ایمن است، اما باید از مواد آتشزا در زمان منفعت گیری از آن پرهیز کرد.
از عوارض احتمالی اکسیژن درمانی میتوان به خشکی یا خونریزی بینی، خستگی و سردردهای صبحگاهی اشاره کرد.
توانبخشی ریوی
توانبخشی ریوی، برنامهای جامع و چند بخشی شامل تمرینات ورزشی، آموزشهای بهداشتی و تکنیکهای تنفسی است که زیر نظر متخصصان انجام میبشود. این روش زیاد تر برای بیماران مبتلا به بیماریهای مزمن همانند COPD، آسم، فیبروز سیستیک و نارسایی تنفسی یا بیمارانی که تحت پیوند ریه قرار گرفتهاند، منفعت گیری میبشود.
توراسنتز
توراسنتز، روشی درمانی و تشخیصی است که برای تخلیه مایع اضافی از فضای پلور (بین ریه و دیواره قفسه سینه) بهکار میرود. این مایع در تاثییر بیماریهایی همانند ذاتالریه، سارکوئیدوز یا اختلالات پلور تجمع مییابد و تبدیل تنگی نفس میبشود. پزشک با داخل کردن سوزن بین دندهها، مایع را خارج میکند.
تراکئوستومی
تراکئوستومی، نوعی جراحی است که در آن سوراخی در جلوی گردن و در نای تشکیل شده و لولهای برای تنفس در آن قرار میگیرد. این روش برای بیمارانی که برای زمان طویل نیاز به منفعت گیری از ونتیلاتور یا انسداد راههای هوایی فوقانی دارند، مناسب است. تراکئوستومی میتواند علتمشکلاتی همانند خونریزی، عفونت، تنگی نای بشود ولی با مراقبت صحیح خطرات آن افت مییابد.
پیوند ریه
پیوند ریه برای بیمارانی که دچار بیماریهای پیشرفته و مقاوم ریوی همانند فیبروز ریوی، فیبروز سیستیک، COPD شدید یا پرفشاری ریوی می باشند، انجام میبشود. در این جراحی، ریه معیوب با یک ریه سالم از اهداکننده جانشین میبشود. بعد از عمل، بیمار باید داروهای سرکوبکننده سیستم ایمنی را تا آخر عمر مصرف کند تا از رد پیوند جلوگیری بشود.
بیماری های ریه با چه عوارضی همراه می باشند؟
بیماری های ریوی تبدیل عوارض مختلفی خواهد شد که بر کیفیت زندگی فرد تاثیرگذار می باشند. این عوارض بسته به نوع بیماری و شدت آن متفاوت خواهند می بود. در ادامه، به عوارض ناشی از انواع بیماری ریوی اشاره شده است:
- مشکلات تنفسی طویل زمان: بیماریهای بافت ریه در برخی موارد تبدیل مشکلات تنفسی مزمن خواهد شد.
- تشدید علائم: افراد مبتلا به بیماریهای مجاری تنفسی امکان پذیر دورههایی را توانایی کنند که علائمشان به طور ناگهانی تشدید میبشود و نیاز به درمان در بیمارستان اشکار میکنند.
- نارسایی قلبی: سختی خون ریوی میتواند به قلب سختی داخل کرده و در نهایت تبدیل نارسایی قلبی بشود.
- لخته شدن خون: افراد مبتلا به سختی خون ریوی در معرض خطر راه اندازی لختههای خون قرار دارند.
- اسکار دائمی ریه: برخی بیماریهای بافت ریه همانند سارکوئیدوز در صورت پیشرفت تبدیل تشکیل بافت اسکار دائمی در ریهها خواهد شد که جذب اکسیژن را دشوار میکند.
- خونریزی در ریهها: صدمه به عروق خونی در ریهها ناشی از سختی خون ریوی میتواند تبدیل خونریزی بشود.
- عفونتهای مکرر: در بیماریهایی همانند برونشکتازی که تبدیل تجمع مخاط میبشود، خطر ابتلا به عفونتهای ریوی افزایش مییابد.
- صدمه کبدی: سختی خون ریوی بهطور غیرمستقیم بر کارکرد کبد تاثییر میگذارد و تبدیل صدمه کبدی میبشود.
راه حلهای پیشگیری از بیماری ریه
پیشگیری از بیماری های ریه با انجام اقداماتی ساده مقدور است. با مراعات موارد زیر میتوانید خطر ابتلا به این بیماریها را افت دهید:
- ترک سیگار: با اهمیت ترین عامل خطر برای تعداد بسیاری از بیماری های ریه از جمله سرطان و COPD، سیگار کشیدن است.
- اجتناب از آلایندههای هوا: هم در داخل خانه (همانند دود دست دوم و مواد شیمیایی) و هم در خارج از خانه (بهاختصاصی در روزهای آلوده و مناطق پرتردد) از قرار گرفتن در معرض آلودگی هوا خودداری کنید.
- معاینات منظم: انجام معاینات دورهای به تشخیص زودهنگام بیماری های ریه پشتیبانی میکند.
- ورزش منظم: فعالیت بدنی به نگه داری و تحکیم سلامت ریهها پشتیبانی میکند.
اهمیت تشخیص و درمان بهموقع انواع بیماری ریوی
بیماری های ریه به علت گستردگی در نوع، علت و علائم نیازمند بازدید و تشخیص دقیق توسط پزشک متخصص می باشند. از عوامل مهم ابراز این بیماریها میتوان به سیگار کشیدن، آلودگی هوا، عوامل ژنتیکی، عفونتهای میکروبی و بیماریهای خودایمنی اشاره کرد. تشخیص و درمان زودهنگام این بیماریها در پیشگیری از پیشرفت بیماری و بهبود کیفیت زندگی بیمار اهمیت بسیاری دارد.
اگر شما یا اطرافیانتان با علائم مشکوک به بیماریهای تنفسی و انواع بیماری ریوی روبه رو هستید، حتما به متخصص ریه یا دکتر آلرژی مراجعه کنید. برای رزرو نوبت یا دریافت مشاوره آنلاین، میتوانید از خدمات وبسایت دکتردکتر منفعتمند شوید.
منبع های:
سوالات متداول
شایعترین بیماری های ریوی شامل آسم، بیماری انسدادی مزمن ریوی (COPD)، برونشیت مزمن، آمفیزم، ذاتالریه (پنومونی)، سل، سرطان ریه و بیماری فیبروز ریوی است.
علائم رایج شامل تنگی نفس، سرفه مزمن، خسخس سینه، درد قفسه سینه، سرفه همراه با خون یا خلط زیاد و خستگی مفرط است.
تعداد بسیاری از این بیماری قابل کنترل و مدیریت می باشند، اما برخی بیماریها همانند COPD یا فیبروز ریوی طبق معمول درمان قطعی ندارند و مقصد درمان افت علائم و بهبود کیفیت زندگی است.
ترک سیگار، منفعت گیری از ماسک در محیطهای آلوده یا کاری، واکسیناسیون، اجتناب از قرارگیری در معرض آلایندهها و معاینات منظم پزشکی از راههای پیشگیری می باشند.
در صورت مشاهده علائمی همانند سرفه مداوم بیشتر از ۲ هفته، تنگی نفس ناگهانی یا شدید، درد قفسه سینه یا سرفه خونی باید فورا به پزشک متخصص مراجعه کرد.
برچسبها:
دسته بندی مطالب
[ad_2]



